
머리카락이 엉켜 형성된 덩어리로 인해 심각한 복통을 겪은 6살 여자아이의 사례가 보고돼 의료계의 주목을 받고 있다.
23일 의학 저널 큐레우스(Cureus)에 따르면 사우디아라비아에 거주하는 6살 여아 A양은 복통과 소화 장애 증상이 수주간 지속돼 병원을 찾았다. 단순한 위장 장애로 여겨졌던 증상은 정밀 검사 결과 예상치 못한 원인으로 드러났다.
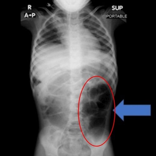
검사 결과 A양의 위 내부에서는 비정상적으로 큰 이물질이 발견됐고, 의료진은 즉각 수술을 결정했다. 제거된 이물질은 다량의 머리카락이 엉켜 형성된 덩어리로, 위에만 머무르지 않고 소장의 일부까지 길게 이어진 상태였던 것으로 확인됐다.
의료진은 “소아 환자에게서 반복적인 복통이나 구토, 식욕 저하가 장기간 지속될 경우 위장관 내 이물질 존재 가능성을 반드시 고려해야 한다”며 “영상 검사를 통한 조기 진단과 신속한 치료가 매우 중요하다”고 강조했다.
위장에서 머리카락 덩어리가 발견되는 사례는 드물지만 꾸준히 보고되고 있다. 지난 2019년에는 미국에서 18세 여성의 위장에서 약 4.5㎏에 달하는 머리카락 덩어리가 발견돼 큰 충격을 준 바 있다.
이 같은 질환은 '라푼젤 증후군'으로 불린다. 머리카락을 뽑아 먹는 습관인 발모식증이나 모발섭식증으로 인해 위 속에 머리카락 덩어리가 형성되고, 이것이 소장까지 길게 이어지는 매우 희귀한 질환이다. 동화 속 라푼젤처럼 머리카락이 길게 늘어진 모습과 닮았다는 점에서 이름이 붙여졌다.
라푼젤 증후군은 주로 청소년과 젊은 여성에게서 나타나며, 불안·강박·스트레스 등 심리적 요인과 동반되는 경우가 많다. 주요 증상으로는 복통과 복부 팽만, 구토, 소화불량, 체중 감소, 식욕 부진 등이 있으며, 심한 경우 장 폐색이나 출혈, 장 천공으로 이어질 수 있다.
치료는 대부분 수술을 통해 머리카락 덩어리를 제거하는 방식으로 진행된다. 의료진은 재발을 막기 위해 수술 후에도 정신건강 치료와 지속적인 관찰이 병행돼야 한다고 조언했다.
이상목 기자 mrlsm@etnews.com